14+ Eli Adams Jewelers Coupon Code

View Horizontal Bone Loss Periodontal Disease UK

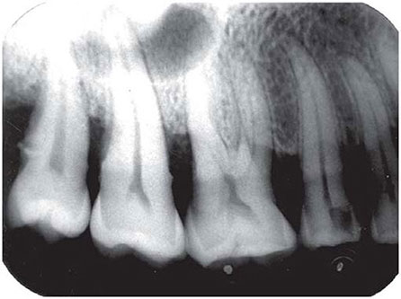
View Horizontal Bone Loss Periodontal Disease UK. Osteoporosis and tooth loss are health concerns that affect many older men and women. In periodontal disease, not only does the bone that supports the teeth, known as alveolar bone, reduce in height in relation to the teeth, but the morphology of the remaining alveolar bone is altered.

Jaypeedigital Ebook Reader
Jaypeedigital Ebook Reader from d45jl3w9libvn.cloudfront.net
This surgical technique is used for implants that have generalized horizontal bone loss past the first thread when regeneration is not considered feasible (fig. Bone loss around the teeth and in the jaws is a lot more common than you might think and can occur after losing teeth or, more commonly, as a result of 'periodontal disease' or 'gum disease'. Skeletal bone density and dental concerns.

Plus, learn about possible links between bone loss, tooth loss and periodontal disease.

Atraumatic extraction of infected teeth. • horizontal bone loss • bone deformities (osseous defects) • vertical or angular • horizontal bone loss is the most common pattern of bone loss in periodontal disease. Horizontal bone loss is the most common pattern ol bone loss in periodontal disease. Horizontal ridge deficiency after extraction.

Komentar